Goregaon

Borivali

Cosmetic Dentistry / Smile Designing / Teeth Whitening.

  • Home
  • Dental Services
  • Cosmetic Dentistry Services / Smile Designing / Teeth Whitening.

Cosmetic Dentistry Services / Smile Designing / Teeth Whitening.

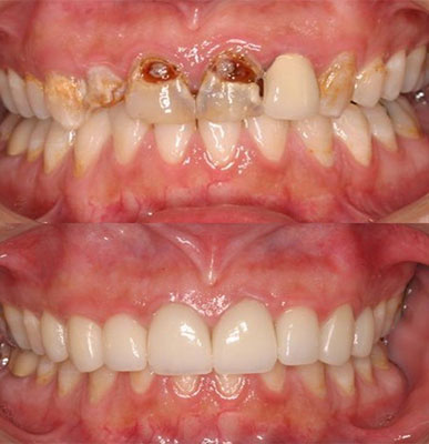
WE PROVIDE OUR PATIENTS WITH COSMETIC DENTAL PROCEDURES WHICH INCLUDES TEETH WHITENING OR TOOTH BLEACHING TO PEOPLE LOOKING FOR BRIGHTER SMILE. COSMETIC DENTISTRY SERVICES ALSO INCLUDES VENEERS (DIRECT COMPOSITE VENEERS/ INDIRECT ALL CERAMIC VENEERS).

Project Image
TOOTH JEWELLERY

Project Image
DIRECT COMPOSITE VENEER

Project Image
TEETH WHITENING / BLEACHING

Project Image
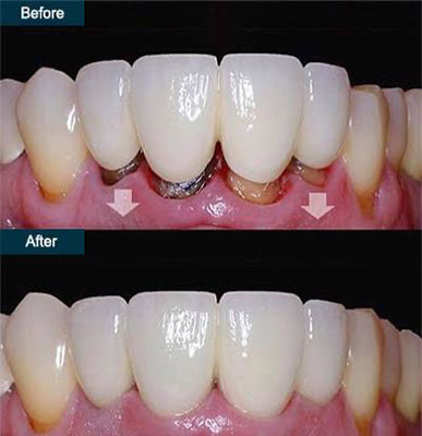
ZIRCONIA CROWN AND BRIDGE

Project Image
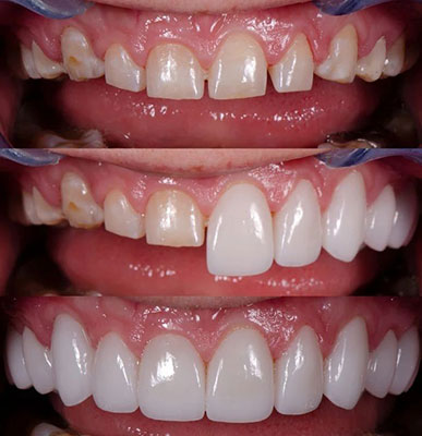
INDIRECT VENEERS

Project Image
SMILE DESIGNING WITH METAL FREE CROWNS

Project Image
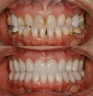
SMILE DESIGNING

Project Image
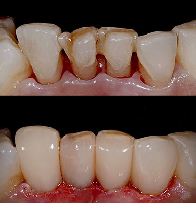
DIRECT COMPOSITE VENEERS